Caso di terapia Ortodontica
IIa Classe da Ipomandibolia
(deficit di crescita mandibolare)
Trattato esclusivamente con apparecchi fissi, per "attivare" e favorire la crescita della mandibola in avanti e risolvere la discrepanza dentaria (divario tra incisivi superiori ed inferiori), migliorando così il profilo e l'estetica del viso.
INIZIO TERAPIA
Faccia-Profilo
-.-.-.-.-.-.-.-.-.-.-.-.-.-.-
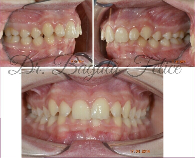
Endorali
Notare come il profilo dei tessuti molli mostri un arretramento del mento rispetto al profilo generale del terzo medio e superiore del viso.
Lo stesso divario tra denti superiori ed inferiori nelle foto endorali.
NON è quindi un caso in cui, nonostante l'apparente sporgenza dei denti superiori, si deve fare una terapia per arretrare il gruppo incisivo superiore. Al contrario l'avanzamento della mandibola risolverà il problema dentale ed estetico del profilo del viso.
-.-.-.-.-.-.-.-.-.-.-.-.-.-.-
FASE DI ALLINEAMENTO
Faccia-Profilo-Endorali
Seconda fase di finitura:Faccia-Profilo-Endorali
RISULTATI FINALI :
Faccia-Profilo-Endorali
Le foto di profilo dimostrano un buon riempimento del terzo inferiore per crescita scheletrica
mandibolare. Contemporaneamente anche l'occlusione ed estetica dentarie sono state riportate alla
norma di una prima classe.
mandibolare. Contemporaneamente anche l'occlusione ed estetica dentarie sono state riportate alla
norma di una prima classe.
PRIMA E DOPO
Endorali
Endorali
Faccia-Profilo
Sitoweb: www.felicebagala.it
Facebook: Bagalà Dott. Felice Odontoiatra
tel: 0302425794
email: bagala.felice@gmail.com









Commenti
Posta un commento